Frente Frío 14: Especialistas advierten aumento de enfermedades pulmonares por frente frío
Ante los frentes fríos, las personas con malestares pulmonares deben cuidarse mucho más, al igual que personas mayores y menores de edad.
Con la llegada de los frentes fríos el incremento de enfermedades pulmonares es también producto de no ventilar las áreas donde pueden haber personas enfermas, sin utilizar cubrebocas.
Así le advierte el neumólogo Fernando villano Ortega; especialista en enfermedades de los pulmones, y reconocido por su trabajo en la crisis de H1N1 y la pandemia de COVID.
Con una larga lista de espera ante pacientes que quedaron con secuelas desde el 2020 y 2021, en el 2024 y 20 25 no se han conocido tantos fallecimientos con motivo de enfermedades respiratorias, destaca el médico.
Durante la pandemia las comorbilidades como la hipertensión, problemas cardíacos, el sobrepeso y la diabetes incrementaron el número de personas que perdieron la vida.
Te puede interesar....
Medidas preventivas, la primer barrera para no enfermar
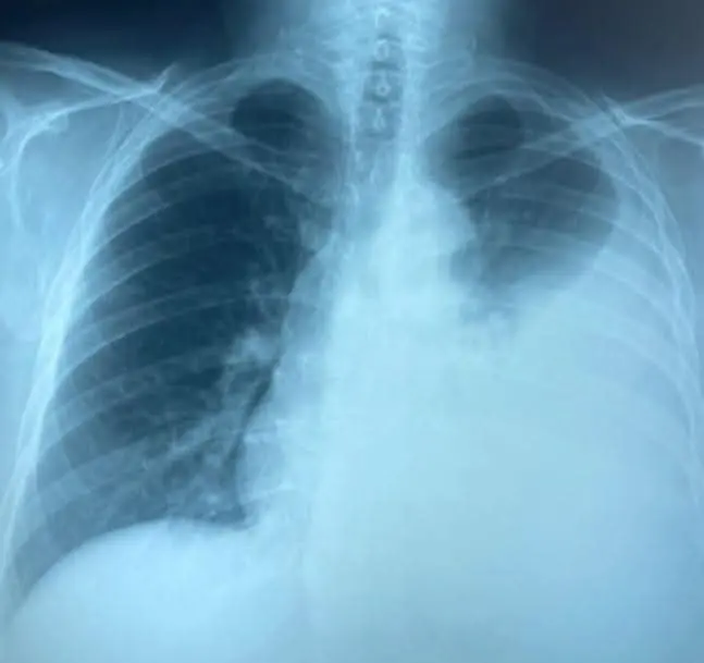
Si las personas padecieron COVID en la pandemia, una de sus secuelas es la fibrosis pulmonar, pequeñas cicatrices que impiden el correcto funcionamiento de estos órganos vitales.
La presencia de enfermedades preexistentes hace mucho más difícil la atención de los pacientes, destaca el doctor Guillén Ortega; al remarcar que al igual que la atención neumológica, se debe trabajar en el control de las enfermedades metabólicas, como las insuficiencias renales, pues esos pacientes son más susceptibles de desarrollar.
Recomienda especialista vacunas y ejercicio para disminuir riesgos
Además de las medidas de barrera, como el cubrebocas, es necesario comenzar la vacunación preventiva especialmente en enfermedades como COVID, influenza, neumococo y del virus sincitial respiratorio.
Destacó que para la protección adecuada ante un síndrome grave de estas enfermedades, es indispensable vacunarse a la brevedad pues su etapa de mayor cobertura se obtiene de cuatro a seis semanas después de haberse vacunado.
Te puede interesar....
A pesar de que los cuadros de COVID actualmente es menos agresivo que la propia influenza, subrayó que las medidas básicas siempre será controlar las enfermedades preexistentes, e incluyendo el estrés porque inhibe las defensas.
Ni son llamados además a que todas las personas incrementen un estilo de vida sano como la inclusión de ejercicios de fuerza.
Te puede interesar....










